Under Construction.....


 
 
 
 
 
 
 
 
 
 
 
 
 
 
 
 
Gallery
 
 
 
 
 
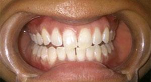
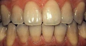
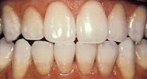
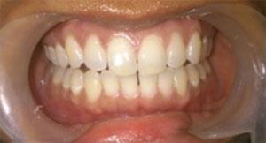
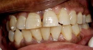
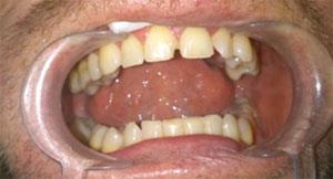
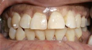
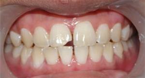
Bleaching / Teeth Whitening
 
Before
After
   
   
   
   
   
 
 
As the name implies, teeth bleaching - or teeth whitening, as it is often called - is a process of lightening the colour of teeth. It is used to erase and  / or reduce  stains that come from coffee, tea, red wine, cigarette smoke and chewing tobacco. Bleaching will also lighten teeth that have darkened because of age or are naturally yellow or dark.
 
 
 
 
Powered By Navkar Solutions