About clinic
Our Team
Testimonial
Gallery
FAQ's
Contact Us
Under Construction.....
Gallery
Scaling
Bleaching / Teeth Whitening
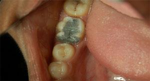
Cavity Restoration
Root Canal Treatment
Dental Jewellery
Cosmetic Dentistry / Smile Design
Crowns & Bridges
Tooth Extraction
Orthodontics
Other Treatment
Children's / Kids / Pediatric Dentistry
Dentures
Periodontal Surgery / Gum Surgery
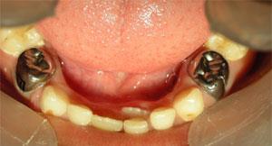
Dental Implant
Children's / Kids / Pediatric Dentistry
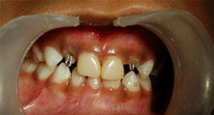
Before
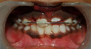
After
Under Construction...
QUICK LINKS
About clinic
Our Team
TESTIMONIAL
GALLERY
FAQ's
Contact Us
CONTACT US
D/30- TAKSH BUNGLOWS
VASNA ROAD
VADODARA,GUJARAT
TEL: +91 - 265 - 2250112
E-mail: drminalkapasi@yahoo.com
FOLLOW US
FACEBOOK
TWITTER
YOUTUBE
Powered By
Navkar Solutions