Under Construction.....


 
 
 
 
 
 
 
 
 
 
 
 
 
 
 
 
Gallery
 
 
 
 
 
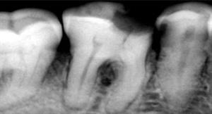
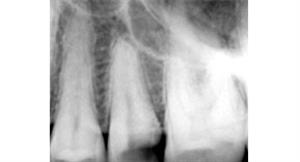
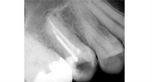
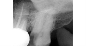
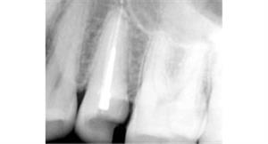
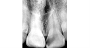
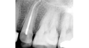
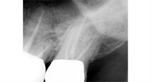
Root Canal Treatment
 
Before
After
   
   
   
   
   
   
   
   
 
 

A root canal procedure (endodontic treatment) is often required to save an infected tooth. Bacteria can enter a tooth through a cavity or a damaged filling. When this happens, the tooth can become abscessed, meaning the pulp inside the tooth becomes infected. An abscessed tooth can be quite painful and cause swelling in the surrounding gum tissues. If left untreated, it can cause several oral health problems. A root canal procedure removes the infected pulp and any other infected tissues within the tooth.

Few words inspire more fear in dental patients than “ ROOT CANAL ”. It doesn’t need to be that way. The dentists at Dr. Minal Kapasi’s dental clinic know how to minimize any discomfort during a root canal procedure.

 
 
 
 
Powered By Navkar Solutions